29th March 2019
Our return to the UK was seamless. The taxi transfer to the airport arrived ahead of schedule, and the Etihad flight departed on time. Our transit through Abu Dhabi was smooth, and the chill of our Heathrow landing served as a sharp reminder that we were back in the northern hemisphere. From there, we took the Underground to St Pancras, followed by a fast train to Harborough.
A much fitter and happier Charlotte met us on the platform with Harry, the greyhound, ready to drive us back to Willow Bank. She mentioned that the past week had been unusually warm, but that today would be the last before a cold spell set in, and unfortunately, she was absolutely right! It took us some time, and no small effort, to readjust to the late winter temperatures and reset our internal clocks to Greenwich Mean Time.
A few days later, we enjoyed a Sunday lunch at Charlotte’s, where we handed out a few presents before heading to Desborough to visit Jamie and Ashton in their new home. They were in the midst of decorating, and some of their furniture had yet to arrive, but it was a lovely starter home, well-designed and easy to maintain.
A few days after that, I spent an afternoon helping Jamie re-roof his garden shed with felt and then build a shelf inside the airing cupboard, before offering moral support as he finished painting the staircase wall.
The following day was my birthday, and I marked the occasion with a trip to Leicester Royal Hospital for an eye check-up. A scan confirmed that everything was stable, meaning I no longer required further injections and had been placed on the routine check-up list. Not a bad birthday present, I thought, and I celebrated with a sausage roll from Greggs. I then spent the rest of the day shopping in Harborough for seeds in preparation for the growing season.
That evening, Sue and I enjoyed a delightful meal at the Black Horse in Walcote, a very late Christmas present from Sarah and Lee. The following night, Jamie treated me to a birthday meal at the Mexican restaurant in Harborough. Having spent the past two months indulging in a continuous sea-borne feast, I had vowed to rein in my appetite, yet within five days, I had managed to undo my good intentions with three substantial meals!
On 10th March, we travelled to Newbold Verdon to admire Sarah and Lee’s decorating efforts in their new home and were thoroughly impressed with what we saw. They had been putting in long hours, working late into the night to transform the downstairs to their own taste and style. The upstairs and exterior, they decided, would have to wait until spring. That afternoon, the four of us enjoyed a delicious and generous four-course Sunday lunch at the Bosworth Hall Hotel in nearby Market Bosworth.
Later that evening, Sue and I went to De Montfort Hall in Leicester to see the British Pink Floyd, an excellent birthday present from Charlotte and Sarah. The performance was outstanding. Having seen the real Pink Floyd twice, as well as the Australian tribute band twice, I can confidently say that the British group brought something truly special to the stage, blending impeccable music with theatrical brilliance. I have no doubt we will see them again in the future.
On the 14th, Charlotte invited Sue and me over for an evening meal. Suraj was away for the week in Leeds on an IT course, and she fancied some adult company to help balance the energy of two lively boys and a greyhound.
On the 15th, Jamie bought a new car. Unfortunately, he had sold his Aston Martin the previous week to an Aston Martin employee from London. His new acquisition is a black V10 Audi R8, an absolute beast of a machine. I did love his Aston, and in the past, I might have made an offer for it myself, but not anymore. My little Fiesta rarely leaves the garage, and when it does, it spends most of its time in an airport long-stay car park. Besides, where would I put my grow bags and grass cuttings?
On the weekend of the 23rd, Sue drove to Tenbury Wells for a reunion with her old school friends. She stayed with Sheila on Saturday night after a buffet meal and disco at the Fountain Inn. Around a hundred former classmates attended, many of whom she has kept in touch with via a website where they share photos from their school days and memories of the town during that era. She particularly enjoyed chatting with the teachers who came along, now in their 80s and 90s, yet still surprisingly sprightly, even taking to the dance floor with enthusiasm.
Since Sue was still in Tenbury on Sunday, Charlotte kindly invited me over for lunch with Suraj, the boys, and Harry. A much better option than the bowl of tomato soup I had been planning!
Settling Back into Routine: In the three weeks since returning from our cruise, we have gradually eased back into life in Harborough. At the allotment, I have planted five rows of potatoes, three rows of broad beans, and ten rows of onions, taking my usual gamble with late frosts. Only time will tell if it pays off. The pool has been cleaned, though I had to dismantle the pump and spray it with WD-40 after it mysteriously seized up while we were away. The lawns have been mowed, though, in truth, it would be more accurate to say that the moss has been trimmed!
Sue has resumed her walks with the U3A and has already attended a couple of lectures. Meanwhile, we have made the most of the Silver Screen showings at the Odeon in Kettering, where I can highly recommend Stan & Ollie and Green Book, both well worth seeking out.
We have also had the company of both Mia and Harry several times while their owners were working, though not at the same time. Mia is naturally adorable, and we are well used to her cheeky ways. Harry, however, is quite a different character, so laid-back that he spends much of his time sleeping. But when awake, he enjoys his walks and is well-behaved on the lead. Off the lead, however, is another matter entirely! Having been a racing greyhound, his speed is incredible. For now, he can only be let loose in an enclosed area until he learns to come when called; otherwise, I doubt we’d ever see him again! He has a lovely nature and enjoys plenty of cuddles, but adjusting to life outside a kennel, without the company of other greyhounds, is a steep learning curve for all involved.
Bone Trouble: I have resumed my morning cycle rides intermittently, but a lingering foot injury from before Christmas and a medial knee ligament strain, acquired on the running machine aboard the Columbus, have made most physical activities painful and difficult. Despite consuming bucketloads of ibuprofen and resting as much as possible, recovery has been frustratingly slow. In desperation, I have had several reflexology sessions with Doreen in her new penthouse apartment. While they haven’t done much for my knee, my foot has shown noticeable improvement. The sessions are incredibly relaxing, and I’m convinced they are doing some good for my overall well-being.
Driving remains particularly uncomfortable, though the pain subsides to a tolerable ache after about 15 minutes. I have a doctor’s appointment on April Fool’s Day (how fitting!), and two days later, I will be driving to Stansted to catch a flight with Sue to visit Joan and Phil in Italy. I have hired a car for the week, so I’m hoping for a marked improvement before then!
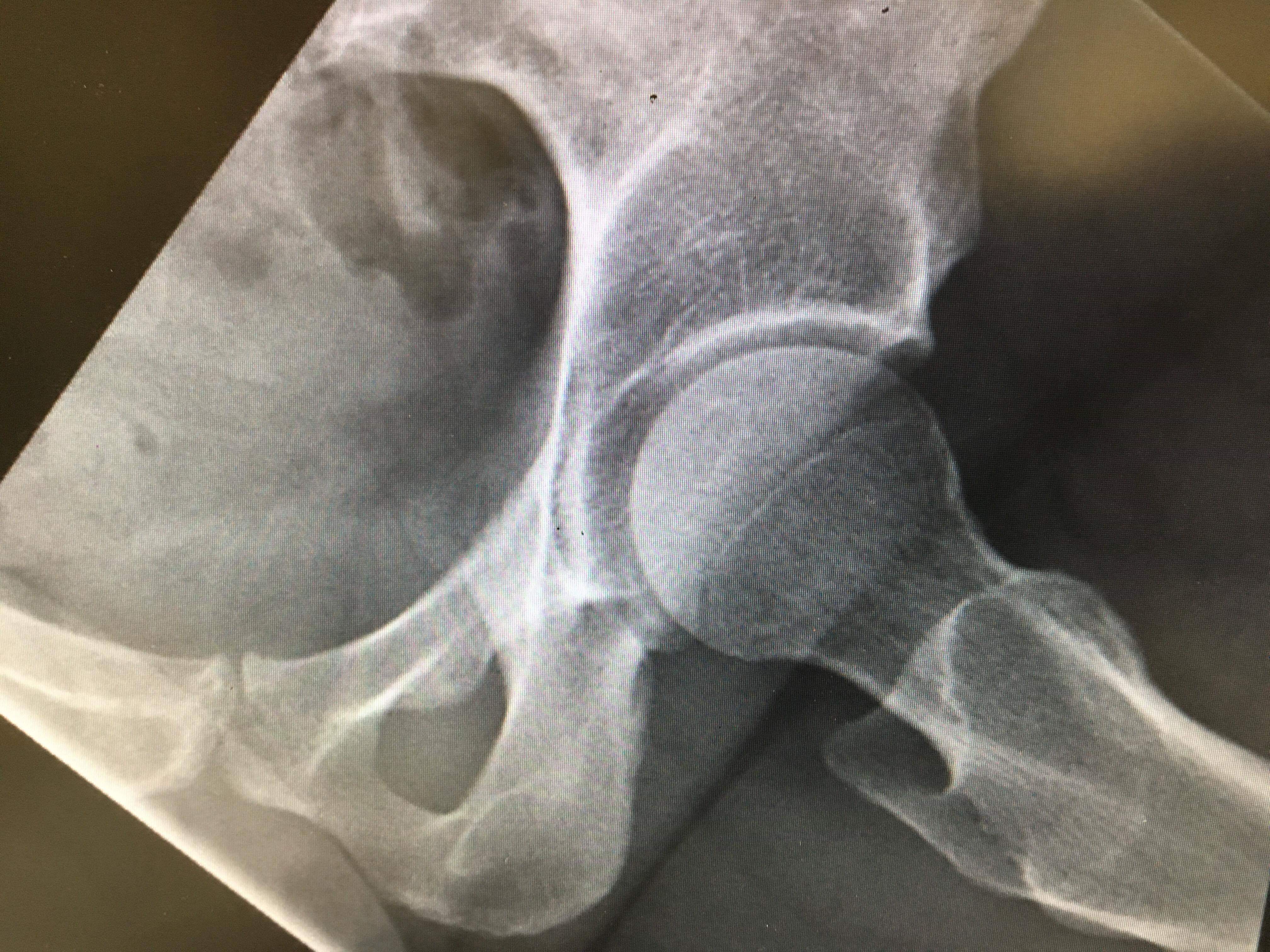
Charlotte’s Health Concerns: Charlotte has returned to her gardening job and is clearly enjoying being back among the plants. However, she has been experiencing hip pain for several years, and this week, a scan at a private hospital confirmed some worrying news. Her joints show significant signs of arthritis and wear, with larger-than-normal gaps in the ball-and-socket joints. The specialist has warned that she will likely need hip replacements by the time she is in her 40s and will require strong painkillers in the years to come.
She is understandably concerned that when the time comes, NHS waiting times may be lengthy or the surgery unavailable. If that proves to be the case, we will ensure she doesn’t suffer unnecessarily, even if it means going private. But for now, we take things as they come.
Sarah was admitted to Glenfield Hospital for an operation on her ankle, having experienced ongoing issues with both ankles over the past few years. Surgery was deemed the best long-term solution. The procedure took place in the morning, and by late afternoon, she was discharged with a full-leg cast. She is expected to be off work for eight weeks.
However, the following day, she had to return to the hospital due to severe pain, as her leg had swollen, leaving no room inside the cast. To alleviate the pressure and restore proper circulation, the cast was carefully split down the front. With the pain eased, she was discharged once again to continue her recovery at home.
The following day, Charlotte and I drove up to Newbold Verdon to visit Sarah and help tidy her garden, with Harry accompanying us. It was clear from the drawn, pained look on her face that she was still suffering from the operation, but by the end of the day, it was reassuring to see her looking much perkier and more like her old self.
Charlotte was eager to clear the moss from the patio roof and wasted no time climbing up the ladder and jet-washing, while I set to work mowing the lawns and cutting down a large bamboo that was shading the greenhouse. The weather was glorious, just right for a day of gardening. For lunch, we picked up fish and chips from the local shop and enjoyed our meal on the patio.
Afterwards, Charlotte tackled the fishpond, cleaning it out before seeding it with some rather bedraggled tadpoles, victims of an earlier mishap when Harry had knocked over their container. Hopefully, they would survive, though it seemed doubtful. Once we had moved the bamboo cuttings and other bagged-up garden waste to the front of the house for disposal, I helped Charlotte remove a weeping willow and plant a magnolia in its place. Not yet satisfied, she then tore out a good section of conifer hedge, pruned a pear tree, and climbed back onto the patio roof to continue her jet-washing. Doesn’t she ever stop for a rest? I thought!
By the time Lee arrived home from work, it was getting dark, and we finally set off back to Harborough. In the meantime, Sue had picked Ellis up from school and given him tea, while Suraj had taken Lucas to football practice. Completely exhausted, I had an exceptionally early night!




Leave a comment